
С этой цитаты мы бы хотели начать новую статью рубрики, посвященную мануальному опорожнению/отдавливанию мочевого пузыря у кошек (отжиманию «спинальников»).
В прошлой статье о собаках и кошках со спинальным неврологическим дефицитом 6 степени (т. е. об инвалидах, в 99% без шанса на восстановление и требующих особого ухода) мы с Вами выяснили, что термин «спинальник» неуместен для обобщения всех передвигающихся на двух передних лапах животных, так как под похожими симптомами могут скрываться разные диагнозы, с разными типом, локализацией и степенью поражения, а потому требующими разных лечения/реабилитации.
Однако есть у этих животных и кое-что общее, а именно «слабое место» — органы мочевыделительной системы.
Большинство собак и кошек, утративших функцию произвольного мочеиспускания, сталкиваются с болезнями мочевого пузыря и почек, нередко вследствие этих заболеваний погибают, и однозначно эти заболевания снижают уровень комфорта и качества жизни питомца.
Это, необразованность и любовь к додумыванию вместо того, чтобы разобраться, породили стойкий вредный ветеринарный миф о том, что «спинальников» нельзя «отжимать» (мануально опорожнять мочевой пузырь), поскольку от давления моча из мочевого пузыря по восходящим путям забрасывается обратно в мочеточники и почки, что вызывает болезни и гибель почек.
Данный миф — один из самых вредных и опасных среди всех заблуждений, о которых мы писали в рамках этой рубрики, поскольку диаметрально противоположно отличается от действительности. Более того, именно вера в этот миф часто является причиной заболеваний органов мочевыделительной системы!
А теперь обо всём по порядку…

Кошка Изабель
Прежде всего, понятие «мочевой пузырь спинальника» — точно такое же ничего не объясняющее, не медицинское и вредное, если использовать его маркером, как и само слово «спинальник». Эти термины звучат знакомо и наукообразно, но не являются диагнозами, под ними могут скрываться пациенты с разными диагнозами, требующими разного ухода.
Мочевой пузырь, также как и все без исключения иные органы и части организма управляется нервной системой. Если упрощать, то «управление» осуществляется двумя «путями» или двумя частями нервной системы: автономной (независимой от сознания) и сознательной регуляцией. При достаточно серьезном повреждении нервной системы неизбежно повреждается один или оба пути управления мочевым пузырём. В зависимости от тяжести и места повреждения клиническая картина и особенности ухода за мочевым пузырём, а также показания и противопоказания к медикаментозной терапии будут разными!
У животного с повреждением спинного мозга может страдать произвольный контроль мочеиспускания (отвечающий за диурез когда надо, где надо и сколько надо), и автономный контроль (возможность правильно и последовательно сократить и расслабить многочисленные мышцы, участвующие в процессе мочеиспускания). Часто мы имеем оба типа нарушений.
Основной принцип ухода за мочевым пузырем «спинальника» (т. е., за «каким-то там неврологическим мочевым пузырём»), независимо от прочих факторов — это его регулярное и тщательное опорожнение! Так вообще организм сделан по умолчанию — моча должна из него выходить, иначе он (организм) портится.

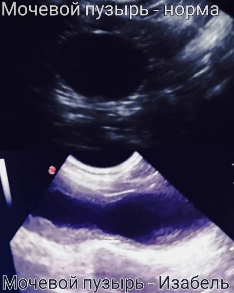
Мочевой пузырь кошки Изабель на УЗИ
Мануальное опорожнение мочевого пузыря — не панацея для «спинальников». Важно понимать, что это лишь адаптация «на безрыбье и рак рыба», своего рода «костыли». Органы мочевыделительной системы «спинальника», которого регулярно и тщательно мануально опорожняют, остаются слабым местом, склонным к заболеваниям.
Мануальное опорожнение мочевого пузыря не всегда возможно и безопасно, особенно на раннем этапе (сразу после повреждения). Поэтому могут (и должны!) применяться другие методы отведения мочи: временная или постоянная катетеризация мочевого пузыря (об этом в следующих статьях), отведение мочи цистоцентезом.
Когда нельзя «отжимать» мочевой пузырь?
…когда котик не мочится сам/мочится по каплям, но мы про него ничего не знаем — анамнеза, состояния стенки мочевого пузыря, данных анализа мочи, объёма мочевого пузыря, состояния почек и других внутренних органов, то есть, нельзя «отжимать» мочевой пузырь необследованному животному без назначения врача.
…если имеет место детрузорно-сфинктерная диссинергия или выраженный гипертонус сфинктеров уретры, динамическая непроходимость уретры — все эти сложные термины означают, что выходное отверстие мочевого пузыря замкнуто по той или иной причине или его тонус очень высок. Сначала необходимо медикаментозно скорректировать нарушения (если это вообще возможно, т. к. медикаментозная терапия — сложная вещь, а уроневрология — малоисследованная область ветеринарии, не все препараты доступны в России и очень мало специалистов адекватно разбираются в теме), и только потом отжимать.
Важно помнить, что механическая непроходимость уретры может возникнуть у «спинальника» с тем же успехом, что и у «здорового» животного. Спинальники также могут заболеть МКБ, например, и заиметь камни в мочевом пузыре. Поэтому, если котик 2 года отжимался нормально, а сегодня что-то не получается, то ни в коем случае не нужно пытаться давить сильнее, нужно срочно бежать к врачу и диагностировать!
Если же животному показано мануальное опорожнение мочевого пузыря, это обязательно необходимо делать, потому что иначе зверь не сможет опорожниться самостоятельно, в мочевом пузыре будет копиться вчерашняя, позавчерашняя (и так далее) моча, растягивать и травмировать его.
Что будет, если не опорожнять мочевой пузырь, который животное не может опорожнить самостоятельно?
1. Вторичная атония мочевого пузыря (не путать с первичной, которую мы предотвратить не в силах, в то время как вторичную — можем и должны).
Представьте воздушный шарик — если его надуть не сильно, до того, как стенки начнут истончаться, а потом сдуть, он будет выглядеть так же, как новый. Но если надуть его до максимального предела, а потом сдуть — получится тряпочка, с неравномерной толщиной стенок. После перерастяжения атоничный мочевой пузырь становится очень тяжело опорожнять мануально (нащупать и отдавить в животе животного «шарик» проще, чем найти и отдавить «тряпочку»). Это одна из причин, почему важно сохранять мочевой пузырь здоровым, не перерастянутым, не атоничным. Кроме того, «отдавить мочевой пузырь» — это ведь не цель, а средство. Атония сама по себе нарушает функцию мочевого пузыря и его стенки, обеспечивая зверю циститы на всю жизнь с большой вероятностью.
2. Изменение стенки мочевого пузыря — травмированная растяжением рыхлая стенка мочевого пузыря становится прекрасным местом для размножения бактерий, эти животные потом истекают красной как борщ тухлой сгнившей мочой.

Моча кошки Изабель в начале лечения
3. Изменение уретры — она расширяется, нарушается слизистый слой стенки уретры, вплоть до образования рубца.
4. Меняется состав, плотность и pH мочи, увеличивается склонность к кристаллизации (МКБ), и опять же создаются благоприятные условия для бактерий.
5. Боль. Не ходить в туалет полдня — это очень больно. А сутки? А неделю? А долгие годы? Да, «спинальники» не осознают боль, но все патологические механизмы боли никуда не уходят (организм продолжает реагировать на боль, даже если мозг этого не осознаёт).
6. Уросепсис и смерть, если всё пошло по плохому сценарию.

Мануальное опорожнение мочевого пузыря должен назначать ветеринарный врач. Подробнее о показаниях, противопоказаниях и самой технике (с видеоинструкцией) — здесь.
Прежде чем объяснить «почему при отжимании моча не забрасывается в почки и не убивает их» давайте вспомним о нормальной анатомии мочевыделительной системы.
Как известно, всё начинается в почках — почки фильтруют кровь, отделяя «нужное» от «ненужного», нужное адсорбируется обратно в кровеносную систему, «ненужное» становится мочой, моча собирается в почечных лоханках, затем поступает в мочевой пузырь, там некоторое время заботливо копится до удобного случая и выводится во внешнюю среду через уретру. При накоплении мочи и небольшом растяжении стенки мочевого пузыря здоровое животное ощущает позыв. На страже выходящей из мочевого пузыря мочи сразу несколько мышц: мышцы брюшной стенки и малого таза, собственно детрузор (мышца стенки мочевого пузыря), внутренний и наружный сфинктеры уретры и гладкая мускулатура уретры.
В случае неуместности акта мочеиспускания животное может подавить позыв к мочеиспусканию «головой» и дойти до лотка/попроситься на прогулку/найти в шкафу нужный ботинок. А котята и щенки, кстати, не могут, у них не работает этот механизм (к слову о приучении котят и щенков к туалетному месту до достижения определённого возраста — это как учить человека летать).
Если по какой-то причине осуществить мочеиспускание не удается, включается «второй резерв» — растяжение стенки мочевого пузыря, благодаря которому животное сможет потерпеть ещё несколько часов.
Если предельная растяжимость детрузора (мышцы мочевого пузыря) достигнута, включается режим «аварийного сброса» — так называемый императивный позыв. Хочу-не хочу, уместно-не уместно, а акт мочеиспускания случится, независимо от воли.

В мочевыделительной системе в норме предусмотрен очень и очень надёжный механизм профилактики (т. е. недопущения) пузырно-мочеточникового и тем более пузырно-почечного рефлюкса (рефлюкс — обратный ток чего-либо, в нашем случае мочи).
Мочеточники отходят от почек и несут мочу ОТ почек К мочевому пузырю за счёт перистальтических сокращений почечной лоханки и стенки самого мочеточника. То есть, моча не стекает из почек в мочевой пузырь по мочеточникам сама, а перемещается перистальтикой (сокращениями мышц). Этот процесс (перистальтическое сокращение гладкой мускулатуры мочеточника) происходит постоянно (если почка на месте и вырабатывает мочу), непрерывно, день и ночь, и он не контролируется сознанием.
«Мочеточниковая рвота» — то есть, движение мочи в обратном направлении, не предусмотрена природой, мускулатура мочеточников не умеет так сокращаться, чтобы переместить мочу обратно из мочевого пузыря в почки или из мочеточников в почки (в отличии от перистальтики пищевода, которая может быть обратной, когда организму нужна рвота).
Мочеточники не входят в мочевой пузырь как «просто трубки с дырками» — прежде чем открыть свой просвет в полость мочевого пузыря мочеточники долго (почти треть своей немалой длины) идут в толще стенки мочевого пузыря, непосредственно внутри мышечного слоя.
Когда мочевой пузырь сжимается, место впадения мочеточника надёжно «захлопывается».
Кроме того, мочеточники выходят под углом из почки и входят под углом в мочевой пузырь, это тоже формирует своего рода клапанный аппарат, «шторку» на пути обратному току мочи.

Здоровая почка кошки Изабель (обратите внимание на размер, указан в см)
А теперь немного физики (как ни странно, объяснить «почему моча при мануальном опорожнении не забрасывается обратно в почки» проще физикой, чем медициной).
Почки-мочеточники-мочевой пузырь-уретра — это сообщающиеся сосуды.
Давление, оказываемое на жидкость, согласно закону Паскаля, передаётся одинаково во всех направлениях. В «серединном» сосуде рука врача/владельца (в случае мануального опорожнения) или сам детрузор (в случае нормы) создаёт положительное внешнее давление в течение очень короткого промежутка времени.
Сопротивление в уретре значительно меньше, чем сопротивление в мочеточнике (диаметр мочеточника кошки около 2 мм, длина около 10–12 см, диаметр уретры до 5 мм, длина до 4 см). Гладкомышечная стенка мочеточника сокращается по принципу «насоса» от почек к мочевому, гладкомышечная стенка уретры сокращается по принципу «насоса» от мочевого пузыря к выходу из кота.
И самое главное — давление вязкой жидкости (моча — не вода, она более плотная), «на выходе» в почке из длинной трубки диаметром 2 мм при условии активного сопротивления обратному току будет значительно меньше.
Когда мы «отжимаем» (как гопники) мочу у мочевого пузыря, давление в мочевом пузыре сопоставимо с таковым же при естественным опорожнении, если мы:
а) создаём прерывистое давление — каждый подход не занимает больше времени, чем стандартная длина акта мочеиспускания здорового животного (за один «жамк», а «жамкать» можно хоть полчаса с перерывами 3–5 секунд);
б) давим не ногой и не гирей 25 кг;
в) давим в направлении уретры, а не наоборот.

Больная почка кошки Изабель
Мы определились с тем, что мочевой пузырь при наличии показаний обязательно нужно опорожнять, но почему «отжиманием», а не, скажем, катетеризацией?
Потому что:
— животных невозможно рутинно катетеризировать стерильно, и если просто упоминания о том, что мир не стерильный и полон бактерий, которые заносятся в мочевой пузырь при катетеризации, приводя к бактериальному циститу, недостаточно (а исходя из практики общения с противниками мануального опорожнения в пользу катетеризации — недостаточно), то — животное перед катетеризацией не принимает душ с подмыванием, их гениталии покрыты шерстью и часто вылизываются языком с бактериями, животные ползают по полу без белья, касаясь половыми органами поверхностей;
— на расходные материалы (2–3 стерильных катетера, 2–3 пары перчаток, литр хлоргексидина в сутки) можно разориться за годы жизни животного;
— риск травматизации уретры катетером при его постановке высок, даже когда животное под седацией, что уж говорить о животном в сознании, которому может не нравиться катетеризация (или как минимум фиксация для катетеризации).
Всё вышеперечисленное относится к «хроническим спинальникам» и не относится к «острым».
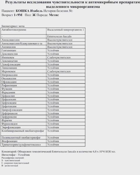
На снимках, используемых в этой статье, кошка Изабель — являющаяся показательным примером того, что случится с органами мочевыделительной системы «спинальника», если животному не опорожнять мануально мочевой пузырь. Изабель утратила функцию произвольного мочеиспускания в возрасте котёнка, после чего целый год жила в приюте для бездомных животных, где не знали о необходимости мануально опорожнять мочевой пузырь кошке, которая не может осуществить диурез самостоятельно. За самостоятельное мочеиспускание воспринималось протекание по каплям на фоне переполнения.

Постоянное переполнение и перерастяжение мочевого пузыря превратили когда-то упругий «шарик» (мочевой пузырь) в растянутую атоничную «тряпочку». Качественно мануально опорожнять этот мочевой пузырь сейчас — очень тяжело даже опытным ветеринарным врачам.
В этом состоянии мочевой пузырь Изабель благоприятен для размножения в нём бактерий, так или иначе попадающих туда извне, диагноз — хроническая рецидивирующая осложнённая бактериальная инфекция, а единственный выход — ежедневный пожизненный приём антибиотика. Каждый день. Всю жизнь. Антибиотик. Иначе — тухлая красная моча.
Но самое главное — воспалительный процесс, возникший в мочевыделительной системе на фоне «неотжимания» привёл к заболеванию, а потом и к «гибели» одной из почек. На снимках можно увидеть разницу между функционирующей почкой и нефункционирующей.
Это очень важно, обратите на это внимание — Изабель осталась с одной функционирующей почкой, потому что ее мочевой пузырь не опорожняли мануально, а не наоборот.
Миф, который мы разобрали, заключается в том, что мануальное опорожнение мочевого пузыря приводит к «смерти» почек, а в действительности же эта кошка продолжает жить (и живёт качественно и комфортно уже 1,5 года после того, как ее доставили в ветеринарную клинику «сгнившей») только благодаря тому, что ее наконец-то начали отжимать!

p. s. Друзья, очень хочется оставить на видном месте ещё одну важную информацию!
Уроневрология — это сложно. Это очень сложно. Упоминание о том, что это сложно, нужно было вставлять после каждого абзаца в статье, во избежание неверного толкования и неверных выводов после прочтения простого материала о сложных темах.
Для того, чтобы понятным языком ответить на вопрос «почему мануальное опорожнение мочевого пузыря не убивает почки» нам пришлось упростить некоторые очень сложные медицинские научные темы до понятных всем выводов, что несколько обесценивает медицину.
Мы понимаем, что это неизбежно, потому что это всего лишь одна статья, являющаяся даже не каплей в море, а атомом во вселенной ветеринарии.
Однако мы очень просим Вас избегать выводов из серии «у нас котик с такой же проблемой, теперь нам ВСЁ ЯСНО». Из этой статьи должно быть ясно только одно — миф развеян, при мануальном опорожнении мочевого пузыря моча не забрасывается в почки и не убивает их. Всё остальное должно быть ясно после очного приёма у ветеринарного врача для каждого конкретного пациента, потому что, ещё раз, похожие симптомы (похожее описание проблемы) — это далеко не всегда одно и то же. После прочтения статьи Вы не станете опытным «спинальнико-владельцем».
«Не пытайтесь повторить это дома»!
Специалисты ветеринарного центра здоровья и реабилитации животных «Зоостатус»:
ветеринарный невролог и реабилитолог Курганская Наталия, ветеринарный координатор, автор блога «Зоостатус полезный» Никита Сенаторов.
Статья в блоге Вконтакте
Скачать статью в формате pdf, epub или doc можно здесь

