Лимфома у кошек
Классификация лимфом
Признаки
Диагностика
Лечение
Прогноз
Лимфома является одним из наиболее распространенных онкологических заболеваний у кошек. Опухоль происходит из лимфоцитарных клеток, отвечающих за формирование иммунного ответа, защиту организма. Лимфома может развиваться в различных органах и поражать жизненно важные системы. Так, опухоль часто обнаруживается в
Лимфома является наиболее частой причиной формирования гиперкальциемии (повышенный уровень кальция в крови) у кошек.
Классификация лимфом

У кошек выделяют несколько видов лимфомы. Клиническая картина, прогноз, скорость течения патологии зависит от типа поражения.
По локализации опухоли различают алиментарную, медиастенальную, мультицентрическую форму лимфомы, а также лимфому висцеральных органов (почек, печени), лимфому центральной нервной системы, кожи. По морфологии клеточного состава: крупноклеточную и мелкоклеточную лимфому.
Алиментарная форма.
Типично поражение
Медиастенальная лимфома.
Опухоль локализована в грудной клетке. Чаще всего у кошек выявляется вирус лейкоза, однако есть пациенты, у которых вирусологическое исследование дает отрицательный результат.
Мультицентрическая лимфома.
Характерно поражение большого числа лимфоузлов, множественная инфильтрация внутренних органов. Заболевание часто ассоциировано с вирусом лейкоза кошек. Прогноз достаточно плохой. Выявление вируса лейкоза кошек всегда ухудшает прогноз.
Признаки
Клинические симптомы зависят от формы лимфомы.
Алиментарная форма:
- отсутствие аппетита;
- вялость, летаргия;
- рвота;
- диарея;
- констипация (запор);
- потеря веса.
Медиастенальная форма:
- одышка;
- затрудненное, частое дыхание;
- кашель;
- потеря аппетита;
- потеря веса;
- снижение активности, летаргия.
Мультицентрическая форма:
- увеличение, болезненный отек поверхностных лимфоузлов (подчелюстные, подмышечные, паховые);
- потеря аппетита;
- потеря веса;
- депрессия.
Прочие симптомы зависят от того, какие внутренние органы вовлечены в патологический процесс.
Диагностика

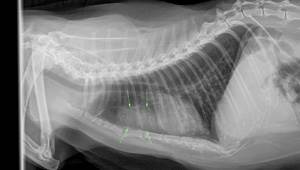
Врач проводит полное физикальное обследование пациента, подробно опрашивает владельца о симптомах. При выявлении хрипов, патологических шумов во время аускультации легких проводится рентгенография грудной клетки. На снимках, как правило, хорошо визуализируются опухолевые массы, свободная жидкость.
При подозрении на алиментарную лимфому проводится УЗИ – исследование брюшной полости, позволяющее установить повреждение кишечника, увеличение лимфоузлов.
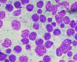
Обязательная лабораторная диагностика включает в себя общий клинический и биохимический анализы крови, цитологическое исследование аспирата, полученного при пункции измененных лимфоузлов. Пункцию чаще всего берут из поверхностных лимфоузлов. При увеличении лимфоузлов, расположенных в брюшной полости, проводится чрезкожная биопсия. Очень качественные образцы врач получает при диагностической лапароскопии/лапаротомии. В этом случае на анализ берется кусочек измененной ткани (стенка кишечника) или весь лимфоузел. Материал направляется на гистологическое исследование.
Цитологическое и гистологическое исследование необходимо для окончательной постановки диагноза. Только при выявлении опухолевых клеток под микроскопом и подробном описании их морфологии можно точно определить, какой вид лимфомы у вашего питомца и какая схема химиотерапии наиболее подходит пациенту.
Лечение
Лимфома относится к крайне агрессивному виду злокачественных опухолей. На сегодняшний день разработано несколько основных схем химиотерапии, позволяющих добиться ремиссии заболевания (исчезновения клинических признаков, опухолевой инфильтрации на определенное время). Длительность лечения составляет, как правило,
При выявлении отдельных хорошо отграниченных опухолевых масс в кишечнике показано их хирургическое удаление (особенно, когда опухоль вызывает обструкцию/непроходимость кишечника). Облучение может быть использовано при назальной лимфоме (опухоль инфильтрирует носовые ходы).
Комбинация хирургического лечения и химиотерапии также применятся при определенных показаниях.
Прогноз
Зависит от клеточного состава опухоли (мелкоклеточная лимфома имеет превосходный прогноз), тяжести клинических проявлений, локализации опухоли, наличия вируса лейкоза или иммунодефицита кошек (значительно ухудшает прогноз), индивидуального ответа на химиотерапию.
Так, у кошек с мелкоклеточной алиментарной лимфомой и хорошим ответом на химиотерапию продолжительность ремиссии была от 2 лет и более. Кошки с крупноклеточной лимфомой хуже отвечают на терапию, гибель пациента может произойти в течение одного месяца после постановки диагноза.
Кошки с лимфомой центральной нервной системы, почек , костного мозга (редко встречающиеся опухоли) плохо отвечают на лечение, долгосрочный прогноз у них плохой.
Варшавское шоссе, 125 стр.1. тел. 8 (499) 372-27-37
Почитайте отзывы о нашем ветеринарном центре.
Позвоните по номеру 8 (495) 241 64 95 и запишитесь на консультацию прямо сейчас.
(с) Ветеринарный центр лечения и реабилитации животных «Зooстатус».
Варшавское шоссе, 125 стр.1.

