Разрыв передней крестовидной связки
Группы риска 
Симптомы разрыва коленной связки у собаки
Диагностика разрыва крестовидной связки у собак
Лечение разрыва связки у собак
Послеоперационный период
Разрыв или надрыв передней (краниальной) крестовидной связки у собаки– часто встречающаяся травма коленного сустава у собак. Встречается также у кошек.
Травму можно получить при одновременном сочетании следующих факторов:
- максимально разогнутый сустав;
- поворот голени;
- резкая толчковая нагрузка.
Крестовидная связка при максимально разогнутом суставе натянута – именно она обеспечивает стабильность сустава и ограничивает его амплитуду, аналогично удерживает от чрезмерного размаха большеберцовую кость. Если добавить в этот момент проворот кости, сильно растянутая связка может порваться. Это сочетание создается при любых движениях с резкими разворотами – игра, челночный бег, перемещение по пересеченной местности (особенно частая причина травм – норы, в которое проваливается лапа, а также прыжки на зыбучих поверхностях – снег, песок) и тд.
Группы риска
Предрасположенность к получению травмы ПКС есть у следующих групп животных:
- крупные и очень крупные породы –
лабрадоры-ретриверы , боксеры, немецкие овчарки, бурбули,кане-корсо , прочие породы группы молоссов. Эти животные массивные, рыхлые, что дает большую, чем у небольших пород, нагрузку на сложную структуру сустава и связки. - животные с следующими врожденными патологиями:
- дисплазия ТБС;
- измененный угол наклона большеберцовой кости;
- предрасположенные к медиальному вывиху коленной чашечки мелкие породы.
- животные с инфекционными артритами коленного сустава (сильное воспаление околосуставных тканей и связок ухудшает состояние ПКС, и для ее разрыва достаточно совсем небольшой нагрузки);
- собаки с излишним весом.
Симптомы разрыва коленной связки у собаки
Основной симптом разрыва передней крестовидной связки – хромота и сильная боль, сразу после получения травмы (резкого поворота, прыжка). При неполном разрыве питомец может на некоторое время перестать хромать, но через несколько дней хромота вернется. Собака будет беречь лапу, поджимать, стараться не наступать или не переносить на нее вес.
Разрыв или надрыв ПКС провоцируют дегенеративные процессы в коленном суставе, приводя к остеоартрозам.
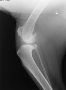
Диагностика разрыва крестовидной связки

Диагноз ставится врачом при осмотре – на основании клинической картины и рентгеновских снимков. Исключаются другие патологии с похожими симптомами – медиальный или латеральный вывих коленной чашечки, дисплазия ТБС. Все эти патологии могут накладываться друг на друга, запущенный медиальный вывих у мелких пород с возрастом может приводить к повреждению ПКС, но в любом случае необходимо их дифференцировать.
Также проверяется наличие симптома переднего “выдвижного ящика” – визуально наблюдаемое смещение большеберцовой кости краниально относительно бедренной.
Лечение разрыва связок у собак

Лечение травматического разрыва оперативное, существует целый ряд разнообразных хирургических техник. При надрыве ПКС можно укрепить и ушить связку.
При полном разрыве применяются следующие методы:
- Переартикулярная стабилизация коленного сустава по L. Brunnberg
- TPLO
- TTA
- Стабилизация коленного сустава с использованием синтетических протезов
Метод выбирается в зависимости от породы, массы, состояния животного, степени запущенности травмы.
Для мелких пород животных иногда рекомендуется консервативное лечение. Оно требует обязательного строгого ограничения подвижности питомца минимум на
В большинстве случаев без оперативного вмешательства у животных начинается остеоартроз и необратимые изменения в суставе или повреждения мениска, не подлежащие восстановлению.
Послеоперационный период

Операция, к сожалению, не единственное, что необходимо для выздоровления после разрыва передней крестообразной связки у собаки. Питомцу также необходим длительный уход. Минимальный срок восстановления при должном уходе и интенсивной физиотерапии – 8 недель. Если не проводить физиотерапевтические процедуры, сроки восстановления увеличиваются до полугода, могут наблюдаться остаточные осложнения и остаточная хромота даже при успешно проведенном хирургическом вмешательстве, так как при этой патологии очень быстро деградируют суставы и теряется мышечная масса.
На протяжении всего периода необходимо ограничивать подвижность питомца.
Для ускорения восстановления животного, улучшения качества реабилитации и снятия болевого синдрома можно использовать следующие методы:
- криотерапия;
- теплотерапия;
- электротерапия :
- транскутанная, для снятия болевого синдрома;
- электромиостимуляция для пассивного сокращения мышц и сохранения мышечной массы;
- пассивная мобилизация, массаж – для снятия негативных эффектов неподвижности, сохранения амплитуды движения суставов;
- гидротерапия (водная беговая дорожка) – для поддержания и укрепления мышц и связок у собаки.
Варшавское шоссе, 125 стр.1. тел. 8 (499) 372-27-37
Почитайте отзывы о нашем ветеринарном центре.
Позвоните по номеру 8 (495) 241 64 95 и запишитесь на консультацию прямо сейчас.
(с) Ветеринарный центр лечения и реабилитации животных «Зooстатус».
Варшавское шоссе, 125 стр.1.

